Parašykite Mums
Kaip ir kasdieniniame gyvenime, taip ir odontologijoje, kiekvieną problemą galima išspręsti bent keliais skirtingais būdais.
Konsultacija – tai pirmasis odontologinio gydymo etapas.
Susisiekite telefonu:
+370 630 31311Monika
Žiobienė
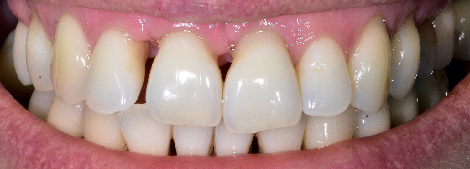
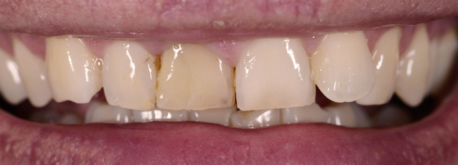
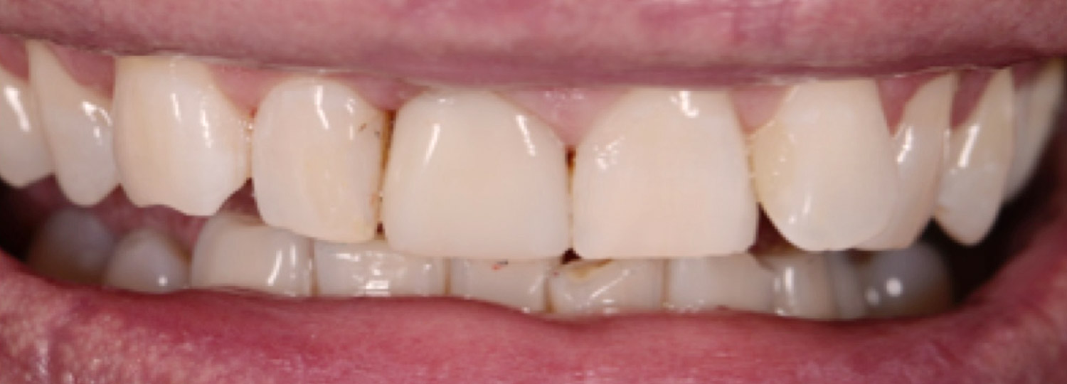
Daugumo žmonių odontologija sieja su dantų ėduonies gydymu. Tačiau kaip gydytojai, specializuojančiai protezavime, dažniausiai tenka spręsti problemas, susijusias su prarastais dantimis. Tai neapsiriboja vien tik danties atkūrimu – dažnai susiduriu ir su pacientų jaučiamu nejaukumo ar nepasitikėjimo savimi dėl esamos situacijos. Kiekvieno paciento istorija ir atvejis yra unikalus, tačiau visais atvejais yra išsprendžiamas.
Mano darbo didžiausias įvertinimas – tai akimirka ir emocija, kai pacientas, pažvelgęs į veidrodį, pamato savo atsinaujinusią šypseną. Kaskart šią ypatingą akimirką išgyvenu kartu su juo.

Galerija
Kurdami šypsenas siekiame tobulumo, kuriam – ribų nėra.
Atsiliepimai
Kurdami šypsenas siekiame tobulumo, kuriam – ribų nėra.
Paslaugos
Mūsų tikslas užtikrinti, kad galėtumėte
atsipalaiduoti odontologo kėdėje.
-
Estetinis
plombavimasEstetinis plombavimas – tai odontologinė procedūra ir dantų gydymo metodas, kurio metu siekiama pagerinti dantų išvaizdą.
-
Dantų
protezavimasDantų protezavimas – odontologinė procedūra, kurios metu atkuriami žmogaus dantys. Pirminė protezavimo paskirtis – atkurti visavertę kramtymo funkciją, pagerinti estetiką.
-
Dantų
implantacijaDantų implantacija – tai procedūra, kurios metu atkuriami trūkstami dantys. Implantacijos metu, dantų šaknys pakeičiamos, metaliniais mažais varžteliais, kurie chirurginiu būdu įsriegiami į žandikaulį.
-
Dantų
plombavimasNepakankama ar netinkama burnos higiena yra viena iš dantų ėduonies priežasčių. Jam atsiradus ne tik jaučiamas dantų jautrumas, bet ir kyla dantų pažeidimų ar jų audinių praradimo tikimybė.
-
Burnos
ChirurgijaBurnos ertmės bei dantų chirurginės paslaugos – būdas, išspręsti daugybę dantų problemų bei sudaryti sąlygas kitų procedūrų, pavyzdžiui, dantines implantacijos, atlikimui.
-
Dantų kanalų gydymas ir plombavimas
Dantų šaknų kanalų gydymas bei plombavimas – būdas išvengti išvardintų varginančių simptomų bei galimybė išsaugoti dantį.
-
Profesionali
burnos
higienaProfesionali burnos higiena – procedūra, kurios metu yra pašalinamos ant dantų bei jų šaknų susikaupusios apnašos bei akmenys. Dantys nupoliruojami, užtikrinama estetiška jų išvaizda bei gaivus burnos kvapas.
-
Gyvenantiems
užsienyjeJei dirbate ir gyvenate užsienyje, tai dar tikrai nereiškia, kad neturite galimybių pasinaudoti mūsų dantų klinikos teikiamomis paslaugomis.
-
Vaikų
odontologijaVos pasirodžius pirmiesiems dantukams, svarbu juos tinkamai prižiūrėti – vaikystėje suformuoti dantų priežiūros ypatumai, paklos pamatus sveikai bei gražiai šypsenai ateityje.
-
Ordoline
tiesinimas
kapomisDantų tiesinimas skaidriomis Ordoline kapomis (dar vadinamomis „elaineriais“), tai modernus, efektyvus ir patrauklus dantų tiesinimo metodas, pakeičiantis metalinius breketus.













